슬개골 탈구
단순히 뼈만 맞추는 것이 아니라, '다리 정렬'과 '연부조직의 균형'을 섬세하게 교정하여 재탈구를 원천 차단하기 때문입니다.
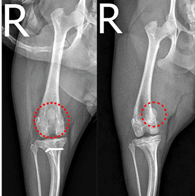
무릎뼈가 정상 위치에서 벗어나며 절뚝거림, 다리 들기, 통증이 반복될 수 있습니다. 단계와 다리 정렬 상태에 따라 수술 방법이 달라집니다.

아이가 다리를 저는 모습은 비슷해 보여도 그 속의 원인은 전혀 다를 수 있습니다.
무릎뼈가 길을 잃은 것인지 관절을 지탱하는 인대가 무너진 것인지 이 근본적인 차이를 짚어내는 것부터 치료를 시작합니다.
무릎뼈가 제자리를 벗어나며 통증과 마찰을 일으킵니다. 뼈의 정렬과 연부조직의 균형을 정교하게 맞추어 다시 정상 궤도를 찾아주는 '교정'이 핵심입니다.
무릎을 지탱하는 인대가 끊어져 관절이 어긋나고 미끄러지듯 흔들립니다. 이 흔들림을 막고 무릎 구조를 튼튼하게 버티도록 만드는 '안정화'가 핵심입니다.
단순히 다리를 전다는 결과만 보지 않습니다. 두 질환을 명확히 분리하고, 아이의 체형, 관절 구조, 활동량까지 종합적으로 고려해 가장 안전한 치료를 설계합니다.
단순히 뼈만 맞추는 것이 아니라, '다리 정렬'과 '연부조직의 균형'을 섬세하게 교정하여 재탈구를 원천 차단하기 때문입니다.
무릎뼈가 정상 위치에서 벗어나며 절뚝거림, 다리 들기, 통증이 반복될 수 있습니다. 단계와 다리 정렬 상태에 따라 수술 방법이 달라집니다.

끊어진 인대를 임시로 봉합하는 방식이 아니라, TPLO/TTA와 같은 정형외과적 안정화 수술로 무릎 관절의 역학 구조를 교정해 인대가 없어도 관절이 흔들리지 않는 근본적인 안정성을 만들기 때문입니다.
관절을 잡아주는 인대가 손상되면 관절이 흔들리고, 연골 및 반월상연골 손상이 동반될 수 있습니다. 활동량과 관절 구조를 함께 고려해야 합니다.

절뚝거림, 통증처럼 비슷한 증상도 무릎뼈의 이탈인지, 관절의 흔들림인지에 따라 치료는 전혀 달라집니다.
아래 증상들을 통해 우리 아이의 현재 상태를 먼저 체크해보세요.
비비동물병원은 기본과 원칙을 끝까지 지키는 방식으로 정직한 결과를 만들어갑니다.
고난도 수술 경험을 바탕으로 해부학적 근거에 충실한 수술 계획을 세웁니다. 상태에 따른 최적의 술식 조합을 보호자가 이해하기 쉬운 언어로 설명해 드립니다.
수술 직전 전 의료진이 환자 정보와 장비를 최종 확인합니다. 표준화된 멸균 및 회복 시스템 운영으로 수술 중 발생할 수 있는 변수를 철저히 차단합니다.
과잉 진료 없이 꼭 필요한 검사만 시행하며, 수술 후 재활 로드맵과 케이스 트래킹을 통해 아이가 완전히 회복될 때까지 전 과정을 함께합니다.
수술 자체보다 중요한 건 ‘전 과정의 설계’입니다. 비비는 진단부터 재활까지 흐름을 끊지 않습니다.
보행 확인, 촉진, 관절 안정성 평가를 통해 구조적 원인을 명확히 확인합니다.
아이의 골격 구조에 맞는 술식과 입원, 재검 일정까지 포함된 로드맵을 설계합니다.
타임아웃과 멸균 시스템, 실시간 모니터링으로 수술 환경을 안정적으로 유지합니다.
단계별 보행 조절과 상처 관리를 통해 회복 속도를 안전하게 끌어올립니다.
가정 내 활동 제한 가이드와 재활 운동법을 안내하여 회복을 돕습니다.
일상 복귀 후 보행 변화를 지속적으로 모니터링하며 완벽한 회복을 확인합니다.