골절
핵심은 '치유가 잘 되는 환경'을 설계하는 것입니다. 뼈 조각을 무리하게 맞추다 주변 조직을 망가뜨리지 않고 직접 정복과 생물학적 브리징(Bridging) 기법 중 아이에게 가장 안전한 치유 경로를 계산해 수술합니다.

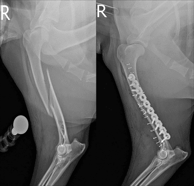
부러지거나 휘어진 뼈를 다루는 수술은 단순한 조립 과정이 아닙니다. 비비동물병원은 뼈가 스스로 붙을 수 있는 생물학적 환경(혈류)을 철저히 보존하고 국제 표준 원칙(AO)에 기반한 정교한 수술 계획으로 아이의 빠른 일상 복귀를 이끕니다.
단순 골절부터 복합 골절까지 뼈의 형태와 관절 침범 여부를 다각도로 읽어냅니다. 아이의 골격에 맞춘 완벽한 계획이 수술 시간을 줄이고 안전성을 높입니다.
최소침습(MIPO) 수술은 단순히 절개창을 줄이는 것이 아닙니다. 뼈가 스스로 붙는 데 필요한 주변 연부조직과 혈액 공급을 최대한 보존하여 '치유 능력'을 극대화합니다.
세계적인 정형외과 표준인 AO 원칙(AO Principle)을 엄격히 준수합니다. 아이가 체중을 싣고 걸어도 뼈가 흔들리지 않도록 생역학적 안정성과 기능 회복을 동시에 잡습니다.
부러진 뼈를 맞추기 위해 근육을 광범위하게 절개하지 않습니다. 수술 중 C-arm(실시간 방사선 투시 장비)을 활용하여 뼈의 정렬과 스크류의 위치를 실시간으로 확인하며 절개창은 최소화하고 수술의 정확도는 극대화합니다.
골절, 각기형, 그리고 이를 해결하는 최소침습. 치료의 목표가 다르면 수술의 접근 방식도 철저히 달라져야 합니다.
핵심은 '치유가 잘 되는 환경'을 설계하는 것입니다. 뼈 조각을 무리하게 맞추다 주변 조직을 망가뜨리지 않고 직접 정복과 생물학적 브리징(Bridging) 기법 중 아이에게 가장 안전한 치유 경로를 계산해 수술합니다.

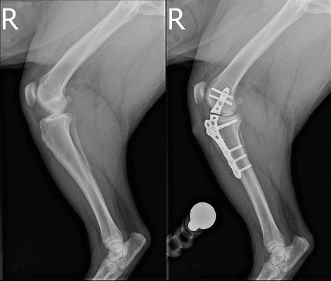
핵심은 '관절 하중의 정상화'입니다. 휘어진 다리를 미관상 이유로 교정하는 것이 아니라 관절 상태와 기형 정도를 다각도로 정밀하게 분석해 비정상적인 하중을 없애고 완벽한 뼈의 정렬을 되찾아줍니다.

핵심은 '손상 최소화와 빠른 회복'입니다. 뼈를 노출하기 위해 근육을 크게 열지 않고 작은 절개창을 통해 수술하는 고도의 술식으로 출혈과 통증을 줄여 아이가 수술 다음 날부터 편안함을 느끼게 합니다.

관행적으로 검사하고 수술하지 않습니다.
아이에게 가장 안전한 수술법과 치유 환경을 찾기 위해 꼭 필요한 질문을 먼저 던집니다.
비비동물병원은 정형외과 진료에 있어 타협할 수 없는 세 가지 원칙을 끝까지 지킵니다.
모든 골절 수술은 뼈의 치유와 기능 회복을 위한 국제 정형외과 표준(AO Principle)을 기반으로 진행합니다. 감이나 관행이 아닌, 검증된 생물학적·역학적 근거로 집도합니다.
단순히 절개창을 작게 남기는 기술이 아닙니다. 뼈 주변의 혈류를 살려 아이가 겪을 극심한 통증을 줄이고, 일상으로의 복귀를 며칠이라도 앞당기기 위한 비비의 집요한 회복 전략입니다.
수술실에서 보이지 않는 피부 아래의 변수까지 안전하게 제어합니다. C-arm 영상 장비를 통해 뼈의 정렬과 임플란트 위치를 실시간으로 모니터링하며 오차와 재수술의 위험을 철저히 차단합니다.
수술실 안팎을 가리지 않고, 정확한 진단부터 안전한 수술, 일상 복귀까지 아이가 다시 튼튼하게 걷는 모든 과정을 빈틈없이 설계합니다.
수술 계획의 출발점입니다. 2방향(직교) X-ray를 통해 골절의 양상과 관절 침범 여부, 각기형의 다각도 변형을 오차 없이 정확히 파악합니다.
무작정 수술실에 들어가지 않습니다. 아이의 골격 구조를 면밀히 분석해 가장 튼튼하게 버틸 수 있는 플레이트 위치와 치유를 돕는 최적의 수술법을 미리 설계합니다.
수술 중 C-arm(실시간 투시 장비)을 통해 뼈의 정렬을 직접 확인합니다. 절개를 최소화하여 연부조직과 혈류를 보존하는 최소침습(MIPO) 방식으로 뼈를 안전하게 고정합니다.
수술 직후 아이가 겪을 통증을 적극적으로 조절합니다. 뼈가 안정화되는 수술 초기 단계에는 철저한 움직임 제한과 24시간 모니터링으로 혹시 모를 변수를 차단합니다.
단순히 뼈가 붙는 것으로 끝내지 않습니다. 정상적인 보행 기능을 완전히 되찾을 수 있도록 관절 가동 범위 회복 훈련과 단계별 맞춤 홈케어 가이드를 제공합니다.